Our Bilingual Staff Welcomes Spanish Speakers
We take pride in making sure everyone feels heard when they visit our dental practice. Our office can accommodate both Spanish and English speakers.
Schmitt Prosthodontics Welcomes You Prosthodontic Care in Altamonte Springs and Mount Dora, FL
Our Mission
“With heartfelt compassion and contagious enthusiasm, we commit to providing a healing dental experience which will change lives through honest communication and thoughtful, ethical care.”
- Dr. Scott Schmitt
Why Choose Us? See what our patient are saying
Balancing Function and Aesthetics
Dr. Scott Schmitt is a skilled prosthodontist in Altamonte Springs and Mount Dora, FL, dedicated to providing his patients with dental care that not only meets functional needs but gives you a smile you can be proud to show off. Dr. Schmitt's philosophy is that dentistry is both an art and a science. He thoroughly enjoys applying his skill and training when crafting restorations, whether it be custom crowns paired with dental implants, natural-looking dentures, or strikingly beautiful porcelain veneers.
Our entire staff is dedicated to providing you with honest and ethical treatment that addresses your health concerns while also exceeding your expectations of dental care. We take our time with every patient to ensure that you are provided the highest level of care. From our relaxing decor to our individualized approach to treatment, we'll make every effort to help you feel comfortable and attended to during your visit.
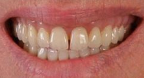
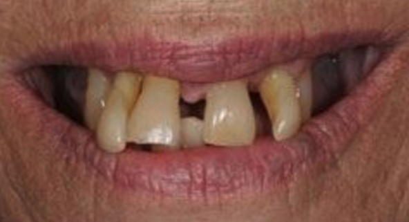
Real Patient Results A Stunning Transformation By Dr. Schmitt
Dr. Schmitt helped this patient transform her smile with customized partial dentures.
Meet Dr. Scott Schmitt
Our Altamonte Springs and Mount Dora Prosthodontist
For more than 20 years, Dr. Scott Schmitt has been committed to excellence in dentistry. Following a Bachelor of Science degree in biology from Duke University, Dr. Schmitt attended dental school at the University of Kentucky College of Dentistry, where he graduated first in his class. Pursuing advanced prosthodontics training at the University of Texas Health Science Center in San Antonio, he received his Master of Science in Oral Biology & Certificate of Prosthodontics in 1999. Dr. Schmitt is active in several reputable organizations, including:
- American College of Prosthodontics
- Academy of Osseointegration
- International Team For Implantology
- Florida Dental Laboratory Association
Dr. Schmitt believes in delivering the highest level of dental care in an ethical, compassionate, and professional manner. If you are looking for a dentist who can restore your smile with dedication and genuine investment in your well-being, Dr. Schmitt is the first choice in Altamonte Springs and the greater Orlando, FL, area.
Professional Affiliations
Dr. Schmitt Featured on the News
Voted One of the Top Prosthodontists in Orlando Every Year Since 2004
Real Reviews From Our Patients "Don't have words to express my gratitude."
Dr. Schmitt and his whole team changed my life literally! He is an artist who gave me a Hollywood Smile! It’s amazing❤️
View on GoogleDon't have words to express my gratitude. I am amaze at the professionalism of the staff, Dr Schmitt, where have they been all my life. I felt at home.
View on GoogleEvery aspect of this office is outstanding! Jacqueline and ALL the of the staff are very caring and helpful. Dr Schmitt is outstanding !
View on GoogleOutstanding! Above and beyond! Fantastic personel. Already did my impressions. I'm so grateful for what they are doing for me. Excellent team. I'm beyond happy. Thank you all very much
View on GoogleAre You Ready To See How Dr. Schmitt Can Help You? Contact Our Altamonte Springs or Mount Dora Office Today
Choosing a dental health care professional is an important decision that can affect the rest of your life. Compared to a general dentist, Dr. Schmitt has years of specialized training as a prosthodontist. This has allowed him to build an in-depth understanding of oral health and dental function, refine his technique, and determine the best materials to use to improve overall results for his patients. Additionally, our team believes that dentistry is both an art and a science. Every procedure is completed with aesthetics in mind so that you can enjoy the benefits of an expertly crafted smile.
If you suffer from a missing tooth or teeth, Dr. Schmitt can help restore the form and function to your smile. To schedule an appointment to learn more, contact our Altamonte Springs, FL, office online or call:
(407) 478-4960
Our Specialties
Dentures
Our Altamonte Springs and Mount Dora offices provide patients who are suffering from widespread or complete tooth loss with a number of options to best suit their individual needs. Patients interested in traditional dentures can benefit from an enhanced quality of life and an improved appearance. Those interested in a greater level of security may be interested in the many advantages implant-supported dentures offer. Depending on the state of your oral health and the amount of bone density in your jaw, Dr. Schmitt can customize treatment to help restore your smile.
Dental Implants
When you lose a tooth, the gap in your smile does more than just affect your appearance. Tooth roots provide stimulation to your jawbone to keep it strong and healthy. This lack of stimulation causes the bone tissue in your jaw to deteriorate. As this atrophy continues, it can cause the surrounding teeth to shift, which can result in further tooth loss. Dental implants are the only treatment in modern dentistry that act as artificial dental roots, effectively ceasing bone loss and providing unparalleled stability for an implant-supported restoration.
Veneers
A smile affected by chipped, worn, or slightly crooked teeth can be given a healthy, symmetrical appearance with the help of custom-crafted porcelain veneers. Using state-of-the-art dental ceramics that are engineered to mimic the light-reflecting properties of natural tooth enamel, veneers are color-matched to blend seamlessly to the shade of your smile. For patients with relatively minor cosmetic issues, such as stubborn discoloration that does not respond to professional teeth whitening treatment from their general dentist, veneers can provide a versatile smile enhancement.
Dental Crowns
A tooth compromised due to trauma or decay can cause a range of issues, from difficulty chewing and speaking to constant pain. Crafted from the same cutting-edge dental ceramics as veneers, crowns can be placed over teeth to protect them from further damage and, in many cases, prevent the need for extraction. Crowns can strengthen teeth that have been significantly damaged, as well as protect teeth following root canal treatment. A single missing tooth can also be restored with an implant-supported crown, filling the gap in your smile and restoring your oral health.
All Services
General Dentists and Prosthodontists What's the Difference?
Just what is the difference between a general dentist and a prosthodontist? While there are many similarities between these two professions, prosthodontists have additional years of training to learn advanced techniques of restoring damaged or missing teeth.
As one of the 12 ADA-accredited dental specialties, the field of prosthodontics focuses on comprehensive diagnosis and rehabilitation of the health, function, and appearance of teeth. As a result, prosthodontist Scott Schmitt is not a general dentist, but a dental specialist, and is passionately dedicated to serving the dental needs of the greater Orlando area.
See Where We Create Healthy Smiles Tour Our Altamonte Springs Office
More 5-Star Reviews "Professionalism at its finest"
At Schmitt Prosthodontics, I have experienced professionalism at its finest, great atmosphere and prompt service. Dr. Schmitt made me feel at ease with a comprehensive plan of treatment and for the first time, I am excited about moving forward.
View on GoogleThe entire staff is professional, caring, And pleasant ! Dr. Schmitt is an absolute Sweetheart, well mannered, does excellent precise work, and has a gentle hand, his work speaks for itself. Dr. Schmitt thank you for the loving care You put in the work you do to help others. I am very greatful to you!
View on Google














